login register
ShowSale.com HomePage
    NEWS CENTRAL >> Вокруг света

News Central


All States

Вокруг света

Рентгеновские снимки Монро ушли с молотка за 45 тысяч долларов
2:35PM Monday, Jun 28, 2010
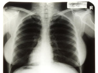
Рентгеновский снимок Монро. Иллюстрация с сайта аукциона
Рентгеновские снимки грудной клетки Мэрилин Монро были проданы на аукционе Hollywood Legends в Лас-Вегасе за 45 тысяч долларов, сообщает Associated Press. Торги проходили в выходные, 26 и 27 июня.

Несколько рентгеновских снимков были сделаны в 1954 году, когда Монро поступила в медицинский центр Cedars of Lebanon Hospital во Флориде с диагнозом эндометриоз. Весной 2010 года аукционный дом Julien's объявил о том, что снимки будут проданы в рамках аукциона вещей, связанных с именами голливудских актрис. Ожидалось, что максимальная стоимость рентгена грудной клетки Мэрили Монро не превысит трех тысяч долларов.

Среди прочих вещей, проданных на аукционе в Лас-Вегасе, также оказалось кресло, фигурировавшее в последней фотосессии Монро для журнала Life Magazine. Этот предмет мебели ушел с молотка за 35 тысяч долларов.

По материалам lenta.ru
« « Вернуться       Далее » »
Другие новости по теме
  • Создатель Yakuza рассекретил новую игру сериала
  • МИД РФ потребовал от Германии доказательств существования "русских шпионов"
  • Указ о Дне советской оккупации расколол Молдавию: и.о. президента поссорился с союзниками
  • Строительство парламентского центра в Москве отложили
  • Марадона признался в желании сыграть в матче с Германией
  • Главу МИД Грузии лишили российского гражданства
  • Boeing предложит Южной Корее стелс-вариант F-15
  • Лужков пообещал снести часть высотки на Мосфильмовской
  • СМИ: Ким Чен Ир впал в маразм, нового лидера КНДР изберут уже осенью
  • Турция запретила израильским самолетам пролетать над своей территорией
  • Дунга ответил критикам сборной Бразилии
  • При взрыве бензовоза в Пакистане погибли 18 человек
  • ВМФ России задумался над покупкой украинского ракетного крейсера
  • Рынок рекламы за два года не восстановится до докризисного уровня
  • Американцы получат консоль 3DS не раньше 2011 года
  • Лионель Месси проиграл пари Марадоне

    Далее » »   Digest | Архив »    
News Central Home | News Central Resources | Portal News Resources | Help | Login
     
Phone Cards at ComFi     Russian America Top. Рейтинг ресурсов Русской Америки. © 2026 RussianAMERICA Holding
All Rights Reserved • Contact